Cirugía Ortognática

Las deformidades dentofaciales son aquellas alteraciones combinadas del perfil facial, frente facial y de la oclusión (mordida).
De hecho, generalmente todas aquellas caras que tiene un perfil claramente no equilibrado se acompaña de una alteración en la forma de como cierran los maxilares. Conseguir una correcta mordida y el equilibrio de la cara se consigue mediante la movilización de los maxilares en aquellos casos donde las deformidades vallan mas allá de lo dentario. De esta forma obtenemos un beneficio estético y funcional; una oclusión correcta y una corrección estética.
La corrección de estas deformidades comprenderá un tratamiento combinado del ortodoncista y el cirujano maxilofacial. Tras un estudio detallado, se planificará el caso, que generalmente requerirá realizar primero el tratamiento dental de alineación (ortodoncia) que permitirá realizar los movimientos faciales que normalicen la mordida y el perfil facial.
Podemos diferenciar varios tipos de deformidades dentofaciales:
- Prognatismo mandibular (prominencia de la mandíbula).
- Retrognatismo mandibular (falta de proyección de la mandíbula).
- Retrognacia maxilar (falta de proyección de maxilar).
- Prognacia maxilar (prominencia de maxilar).
- Asimetría facial (Son alteraciones de la simetría de ambas hemicaras, es decir, alteraciones en vista de frente).
- Mordida abierta (imposibilidad de cerrar los dientes a nivel anterior).
- Sonrisa Gingival (Es el exceso de exposición de las encías del maxilar superior al sonreir).
- Deformidad Craneofacial sindromica (conjunto de alteraciones faciales complejas correspondientes a un síndrome congénito o hereditario característico ej. Microsomia Craneofacial unilateral, Treacher Collins, Crouzon, Pierre – Robin, etc).
La Cirugía Ortognática se define como la cirugía de corrección de las deformidades dentofaciales que se realiza con la movilización del maxilar superior y la mandíbula en la mayoría de los casos, pudiendo ser combinadas con movilizaciones de mentón entre otros huesos faciales.
Su realización requiere de un estudio cuidadoso de cada cara, de un tratamiento en equipo entre el ortodoncista y el cirujano maxilofacial, y del soporte de la planificación mediante programas informáticos.
Estas intervenciones se practican bajo anestesia general. La corrección de la posición de los maxilares se realiza mediante incisiones intraorales (sin ninguna cicatriz facial). Se efectúa la osteotomía de uno o de los dos maxilares dependiendo de cada caso, y se reponen en la nueva posición fijándose con miniplacas. Esto permite una rápida recuperación de la intervención, con un ingreso hospitalario de uno o dos días, y una reincorporación laboral a los 10 -15 días. Se debe seguir una dieta blanda durante 30-40 días que se inicia el mismo día de la intervención.
El postoperatorio transcurre sin dolor, pero si acompañado de edema (hinchazón facial) variable según los casos. Esta edema se normaliza a los 5-7 días, y los resultados faciales son claramente visibles a los 10-15 días.
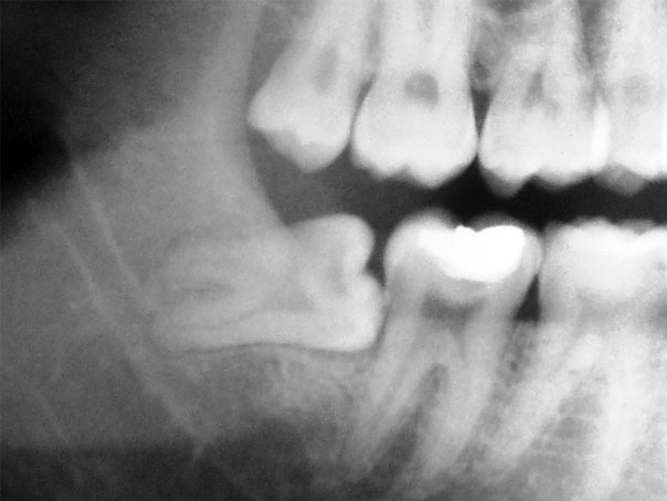
ContáctenosMolares retenidos con sedación intravenosa

Los terceros molares retenidos (o muelas de juicio) son las últimas muelas en erupcionar en la boca. La dieta moderna y la popularidad de la ortodoncia producen un arco que comunmente no deja espacio para que los terceros molares erupcionen. Un diente se retiene o impacta cuando hay falta de espacio en el arco dental y su crecimiento y erupción son impedidas por la mucosa subyacente, el hueso u otro diente. Estos pueden ser dolorosos u ocasionar infecciones dañando elementos dentarios próximos, como también otros problemas más serios pueden ocurrir si el saco que los rodea se llena de fluidos formando un quiste, o raramente un tumor en sus paredes.
Para realizarse la cirugía no es recomendado esperar a que empiecen a molestar. Una temprana remoción puede resultar en una cicatrización menos complicada, recomendando que la cirugía se realice cuando el paciente es joven adulto para prevenir futuras complicaciones.
Después de la cirugía, puede experimentar hinchazón y disconformidad que son parte de un proceso normal de cicatrización. Compresas frías pueden ayudar a disminuir la inflamación, junto con la medicación prescripta por su cirujano bucal y maxilofacial.
ContáctenosTrauma facial

La "traumatología facial" es una parte específica de la traumatología que se dedica al tratamiento de las fracturas mandíbula, maxilar superior, malares, nariz, orbitas, frontal, región etmoidal, etc. Estas requieren un abordaje especializado por parte de un cirujano maxilofacial para evitar secuelas tanto funcionales como estéticas.
Los accidentes de tránsito, deportes de riesgos, las agresiones y caídas domesticas son los principales causantes de las fracturas en la cara.
Nuestro principio a la hora de tratar este tipo de fracturas se basa en una reconstrucción precisa y minuciosa de las fracturas basándonos en la oclusión real del paciente y exacta relación anatómica; realizando incisiones casi invisibles en la cara. El tratamiento de las fracturas faciales no finaliza tras la intervención, sino que en el postoperatorio aportamos un tratamiento de recuperación mediante fisioterapia y rehabilitación.
La fijación de las fracturas se realiza a través de "miniplacas" de titanio de bajo perfil que nos aseguran un resultado excelente.
La colocación de estas placas se realiza a través de incisiones ocultas o transbucal que permite reconstruir la fractura sin cicatrices en la cara.
Actualmente incorporamos, especialmente en niños, las placas reabsorbibles, que se degradan y desaparecen en seis meses.
ContáctenosMentón

Cuando hablamos de cirugía del perfil facial o perfilo plastia, la mentoplastia junto con la rinoplastia son los dos procedimientos más determinantes. Una falta de mentón configura una cara sin carácter, con un aumento de la región cervical (papada). Un exceso del mentón configura un perfil demasiado prominente y agresivo.
A la hora de planificar la cirugía se debe analizar la forma del mentón tanto teniendo en cuenta el perfil como en su visión anterior y su dimensión vertical, las expectativas del paciente, el tipo de piel, los tejidos blandos cervicales, la proyección de los labios, la nariz, la edad, etc. Tiene a la vez un papel rejuvenecedor.
La mentoplastia puede realizarse mediante la reestructuración del mentón óseo del paciente o mediante la inserción de una prótesis.
La elección de una técnica depende de varios factores que deben valorarse con el paciente, y que estarán en parte determinados por el tipo de deformidad del mentón. Se trata de un procedimiento sencillo, que se realiza bajo anestesia local y sedación o anestesia general. La recuperación es rápida, de tal forma que el paciente puede reintegrarse a su actividad habitual tras cuatro o cinco días. Los resultados son evidentes desde el primer momento de la cirugía.
ContáctenosPómulos

El tercio medio facial, y especialmente la región malar (pómulos), es una región a menudo poco valorada en la planificación estética del paciente. Sin embargo, su adecuada proyección es fundamental en la percepción de una cara atractiva y con carácter. Si analizamos las caras que consideramos bellas, unos pómulos marcados determinan el atractivo de la cara, y pueden enmascarar una nariz con excesiva giba, y resaltar la mirada.
Uno de los efectos de la edad sobre la cara es el descolgamiento de los tejidos blandos de esta región. Por tanto un aumento en esta región nos va a proporcionar dos beneficios importante: un rejuvenecimiento facial, y aumentar la belleza de la cara.
La intervención se realiza mediante anestesia local y sedación o mediante anestesia general a través de una incisión dentro de la boca.
Se coloca una pequeña prótesis de "Porex" que realzará la proyección del pómulo. Esta intervención no requiere ingreso, y su reincorporación a su vida habitual es rápida.
En fundamental una análisis facial, y una planificación cuidadosa para escoger tanto el tamaño como el tipo de prótesis adecuada a cada paciente, planificando resultados naturales que proporcionaran rostros atractivos.
ContáctenosCirugía reconstructiva oncológica

Son todas aquellas intervenciones que se afectuan en el area de la cavidad bucal, maxilares y la cara que tienen como finalidad reconstruir los defectos ocurridos en estas regiones a consecuencia de exéresis de tumores, traumatismos graves, o de otra patología; para devolverle al paciente su anatomía, estética y función normal ( fonación, masticación, etc.).
Estos procedimientos incluyen las reconstrucciones con injertos oseos, musculos, piel y mucosas, tejidos cartilaginosos y también implantes alopasticos, zigomáticos, somaticos, etc.
Esto es necesario luego de resecciones efectuadas en maxilar y mandíbula por procesos tumorales benignos o malignos, quistes, u otras patilogias agresivas, realizándose en forma definitiva cuando se considera curada la enfermedad, con características individuales para cada caso según el daño que ha producido la enfermedad.
ContáctenosArticulación temporo mandibular

El Síndrome de la ATM se define como las sintomatología en forma de dolor, ruidos articulares e imposibilidad funcional derivada de una mala función de la articulación Temporo-mandibular (ATM), sistema donde se articula la mandíbula al cráneo. Esta articulación presenta una alta complejidad debido a los movimientos que realiza de apertura y cierre, traslación y lateralización de la mandíbula.
Todos estos movimientos son posibles gracias a la presencia de un menisco y una cápsula articular con ligamentos internos y externos, que le dan estabilidad y limitan en parte los movimientos exagerados.
El Síndrome de ATM presenta diferentes estadiajes de evolución que se corresponden con la sintomatología del paciente y la afectación articular que presenta. El diagnóstico se obtiene con la exploración cuidadosa del paciente, de los movimientos articulares y de la afectación muscular, y se complementa con una técnica de imagen que puede ser la Ortopantomografía, Condilografía o en ocasiones con un estudio mediante Resonancia Magnética.
El tratamiento de esta enfermedad es generalmente conservador mediante fisio-terapia, tratamiento farmacológico, corrección de hábitos (bruxismo), estudio de la mordida, y placa de reposicionamiento mandibular. En estados más avanzados se puede requerir de artrocéntesis o artroscopías que reparen los daños en la articulación, y en menor medida de cirugía abierta de corrección de las alteraciones de la articulación.
Debido a que la patología de la ATM puede venir causado por múltiples factores, ofrecemos a nuestros pacientes un tratamiento multidisciplinario que trabajarán en equipo e individualizarán el tratamiento en cada caso.
ContáctenosLabio leporino (FLAP)

La fisura labio-alveolo-palatina es una malformación congénita de la cara que afecta al labio superior, la región alveolar y al paladar duro y blando en una amplitud variable. Así puede afectar solo al labio o solamente la úvula, hasta la abertura total. Se dan en un de cada setecientos nacimientos y su causa es desconocida.
El tratamiento del niño con FLAP no consiste en una sucesión de operaciones quirúrgicas, sino mas bien una serie de tratamientos complementarios tendentes a la rehabilitación funcional (respiración, deglución, masticación, audición y habla) y estética completa.
Dentro de las intervenciones que se realizan comúnmente podemos encontrar:
- Cirugía Plástica del labio y nariz.
- Cierre de paladar blando y duro.
- Palatofaringoplastia o distracción osteogénica de paladar cuando hubiere incompetencia velo-faríngea.
- Alveoloplastia para reconstrucción de reborde dentario.
- Cirugía Ortognatica para avance maxilar en caso de maloclusión y atrofia.
- Asesoramiento en tratamiento ortodóncico.
Implantes dentales

Los Implantes dentales son la mejor opción para reemplazar los dientes ausentes, diferenciándose de las dentaduras removibles que se fijan a los dientes adyacentes mediante ganchos poco estéticos o puentes, dañando estructuras sanas; los implantes dentales colocados en el hueso permiten restauraciones para toda la vida.
Actualmente ante las pérdidas de elementos dentarios, el cirujano maxilofacial coloca mediante una cirugía en los maxilares implantes compuestos de titanio que se fusiona con el hueso a través de un proceso llamado “oseointegracion”. Estos nunca se mueven o hacen ruidos, pasando inadvertidos como falsos dientes, evitando también la perdida ósea por estimulación localizada de la encía y hueso.
El implante dental diseñado para reemplazar un diente individual consta de tres partes: el implante de titanio que se fusiona con el hueso; el pilar que ofrece una porción externa retenida dentro del implante y una corona que adapta sobre el pilar con una apariencia natural.
Si le faltan varios dientes en el mismo maxilar, podrá disfrutar de un estilo de vida de beneficios con los implantes dentales. Se pueden colocar dos o más implantes, dependiendo del número de dientes faltantes o tipo de prótesis a usar, logrando excelente función y prevención de pérdida ósea.
Con una tasa de éxito del 95% y más de 50 años de investigación clínica que los respaldan, los implantes frecuentemente son la mejor opción para reemplazar los dientes ausentes.
Cualquiera sea su edad: joven, adulto o anciano; cualquiera sea su necesidad de reemplazar: un diente, varios, o todos; cualquiera sea su condición actual de hueso, atrófico o no; hay una solución en implantes dentales para usted. Con la excepción de los niños en crecimiento, los implantes dentales son la solución de elección para gente de todas las edades.
ContáctenosImplantes cigomáticos

El desarrollo de los implantes Cigomáticos representan una excelente alternativa para la rehabilitación total o unilateral del maxilar severamente atrófico, con solo un procedimiento quirúrgico y sin necesidad de injertos óseos, levantamientos de piso de seno , entre otros procedimientos; reduciendo costos, tiempo y visitas al profesional.
Estos largos implantes son anclados en el maxilar y en el denso cigoma, con la colocación inmediata en el mismo acto quirúrgico de una prótesis inmediata temporaria hasta que la restauración definitiva este lista, una vez que se han alcanzado criterios de estética y función.
La principal ventaja de los Implantes Cigomáticos sobre los levantamientos de piso de seno maxilar son la corta duración del procedimiento y las altas tasas de éxito de la técnica, volviéndola más predecible que los injertos óseos.
Si usted es un paciente insatisfecho con su prótesis removible superior, debería considerar esta opción para recobrar en cortas sesiones la estética y función perdidas.
Están también indicados para reconstrucciones de maxilares y mandíbula luego de cirugías por tumores, traumas graves, grandes pérdidas de continuidad, etc.
ContáctenosQuistes y tumores maxilares

Los quistes y tumores a nivel de los maxilares son una alteración relativamente frecuente. Solo en casos poco frecuentes, estos ya sea por el tamaño o por su etiología pueden generar secuelas más graves como pérdida de dientes, de tejido óseo o incluso invadir estructuras vecinas.
En la mayoría de ocasiones los quistes tienen un origen dental. Se produce a consecuencia de la extensión de la infección que afecta el diente y al hueso que rodea éste.
Nuestro objetivo es realizar la exéresis del quiste o tumor, en la mayoría de los casos de forma conservadora, y reconstruir las regiones afectadas para que no exista ninguna secuela.
El cirujano valorará cada caso individualmente, con especial atención al origen de la lesión, y a la extensión y afectación de estructuras vecinas. Para ello, habitualmente se requiere de la realización de una TAC que nos aporta una información detallada.
La exéresis del quiste requiere en cada caso tratamientos diferentes dependiendo del estado del diente, de la endodoncia, del tamaño del quiste, de su origen, de la afectación de dientes vecinos, etc.
El tratamiento de estas patologías consistente en la extracción de la lesión que se realiza con anestesia general o local, totalmente indoloro, y con un postoperatorio que cursa con algo de edema, molestias ligeras, y que requiere de una dieta blanda durante unos días. El procedimiento quirúrgico puede requerir además la reconstrucción mediante hueso heterólogo (hueso artificial) o autólogo del resto del maxilar y la reconstrucción de encía y partes blandas para obtener una buena salud periodontal y una buena estética.
Sin embargo, en patologías de gran tamaño, o de origen no dental, el tratamiento de estos requiere intervenciones mucho más avanzadas, con ingreso hospitalario.
ContáctenosCirugías pediátricas

La cirugía maxilofacial pediátrica trata todas aquellas lesiones de los maxilares, cavidad bucal y dentofaciales, de origen traumático, congénito, tumoral o infeccioso, con fin de restablecer la salud bucal e integral del enfermo que la padecen, siendo su objetivo primordial la corrección funcional del individuo menor de 16 años, reintegrándolo a la actividad académica, productiva y social.
Dichos tratamientos se realizan mediante la atención del paciente por un equipo multidisciplinario que consta de cirujano maxilofacial, cirujano infantil, pediatra, etc.; para el correcto abordaje y tratamiento tanto pre como post-quirúrgico del procedimiento.
Los procedimientos se pueden realizar con sedación intravenosa e internación ambulatorio en el centro de salud, o anestesia general e internación hospitalaria por uno o dos días dependiendo de la complejidad del procedimiento.
ContáctenosApnea del sueño y ronquidos

Se trata de un tipo de Trastorno del Sueño provocado por la obstrucción de la vía aérea mientras se duerme. Cuando el cerebro detecta que el aire no está entrando a los pulmones, la persona despierta muchas veces durante la noche y tiene la sensación de no haber dormido.
Las consecuencias pueden ser muy graves, debido a que:
- Los ronquidos exagerados afectan negativamente la vida de las personas, pues la familia y amigos evitan descansar cerca de un roncador.
- Los cambios de ánimo alteran las relaciones familiares, a veces produciendo quiebres irreparables.
- La presión arterial suele elevarse y al consumir medicamentos, pueden producirse problemas cardíacos.
- Las personas están más propensas a sufrir accidentes de trabajo o de tránsito debido al sueño.
- El mal rendimiento laboral prolongado provoca la pérdida del puesto de trabajo.
- La alimentación repercute directamente en la calidad de nuestro dormir. Por ejemplo, las comidas pesadas o acompañadas por alcohol, alteran gravemente la calidad del sueño. Las personas con sobrepeso u obesas, sufren con mayor frecuencia Trastornos del Sueño, por lo que las actividades laborales donde la obesidad es más importante, presentan mayores riesgos de accidentes y disminución de la productividad.
En su primera visita luego de la historia clínica y la exanimación, si hay sospechas sobre desordenes del sueño, es posible que sea derivado para un estudio llamado polisomnografia que requiere que usted pase una noche en una clínica donde será monitorizado su patrón del sueño.
Tratamiento para la Apnea del Sueño
- Modificación del comportamiento (pérdida de peso, evitar alcohol, cafeína, etc).
- Aparotologia oral: Indicado para casos leves o moderados, estos ubican la mandíbula y lengua hacia adelante para elevar el paladar blando y ampliar la vía aérea.
- Cirugía: Indicado para casos moderados y avanzados donde es posible realizar suspensión hioidea, avance geniogloso o avance maxilomandibular simultaneo.
Cirugía pre-protésica

Con este nombre denominamos a todos aquellos procedimientos quirúrgicos que se realizan para permitir que las condiciones sobre las que asienta una prótesis dental en una persona sean las mejores, ganando en comodidad, funcionalidad, estética y confianza para el paciente. Estas intervenciones incluyen procedimientos que se realizan sobre los tejidos duros, hueso, y aquellos que también se realizan sobre los tejidos blandos o mucosa oral.
Esta cirugía puede realizarse en el momento de la extracción de una pieza dental. Incluye también los injertos óseos, que se realizan para aumentar la superficie de soporte de la prótesis o permitir la inserción de implantes dentales en maxilares con perdida amplia del hueso natural. La extirpación de crecimientos óseos anómalos como los torus palatinos o mandibulares, que impiden una adaptación optima de la prótesis.
Entre los procedimientos que se realizan en los tejidos blandos encontramos las vestibuloplastias que aumentan la longitud o profundidad del vestíbulo de la cavidad oral permitiendo una mayor adaptación y retención de la prótesis al aumentar la superficie de soporte.
Contáctenos